Implanturi Straumann: Calitatea Elvețiană pentru Zâmbetul Tău Durabil – Dr. Marius Mahalianu
Implanturile Straumann reprezintă alegerea premium pentru pacienții care doresc soluții dentare de lungă durată, cu rezultate estetice și funcționale excelente. Dr. Marius Mahalianu plasează cu succes implanturi Straumann în Iași, Bacău, Suceava și Neamț, oferind standardul de aur al implantologiei elvețiene chiar în regiunea ta.
Cu o experiență vastă în implantologie și tehnologie digitală de ultimă generație, Dr. Marius Mahalianu te ajută să obții un zâmbet natural și puternic folosind implanturi Straumann de cea mai înaltă calitate.
De ce implanturi Straumann Iași sunt considerate standardul de aur?
Implanturile Straumann, fabricate în Elveția, sunt recunoscute la nivel mondial pentru materialele premium (Roxolid® și suprafața SLActive®), care asigură o osteointegrare rapidă și o rată de succes clinic de peste 98% pe termen lung.
La cabinetul Dr. Marius Mahalianu, implanturi Straumann Iași sunt utilizate atât pentru înlocuirea unui singur dinte, cât și pentru reabilitări totale pe arcadă, inclusiv soluții de încărcare imediată.
Avantajele implanturilor Straumann plasate de Dr. Marius Mahalianu
- Osteointegrare rapidă în doar 3-4 săptămâni datorită suprafeței SLActive®
- Rată de succes extrem de ridicată, confirmată de studii clinice internaționale
- Estetică superioară și aspect natural al gingiei
- Stabilitate excelentă chiar și în os cu densitate redusă
- Risc minim de complicații pe termen lung
- Accesibilitate în Iași, Bacău, Suceava și Neamț
Implanturi Straumann Iași – Experiență și tehnologie la cele mai înalte standarde
Dr. Marius Mahalianu utilizează planificare 3D precisă și protocoale moderne pentru inserarea implanturilor Straumann Iași. Pacienții beneficiază de intervenții minim invazive, confort sporit și rezultate predictibile.

Implanturi Straumann în Bacău, Suceava și Neamț
Indiferent dacă locuiești în Bacău, Suceava sau județul Neamț, poți beneficia de aceeași calitate elvețiană. Dr. Marius Mahalianu oferă consultații și tratamente complete cu implanturi Straumann în toate cele patru locații, fără a fi nevoie să călătorești departe.
Vezi mai multe despre misiunea noastră în implantologie și soluțiile inovatoare pe care le oferim.
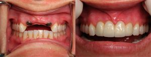
Pacient , inainte si dupa.

Cum decurge tratamentul cu implanturi Straumann Iași?
- Consultație inițială + scanare CBCT 3D
- Plan de tratament personalizat
- Inserarea implanturilor Straumann sub anestezie locală
- Perioadă de vindecare accelerată
- Protezare finală – coroane, punți sau lucrări fixe
Programează consultația gratuită pentru implanturi Straumann Iași
Dacă vrei să afli dacă ești candidat pentru implanturi Straumann Iași, contactează-ne acum. Dr. Marius Mahalianu îți va oferi un plan de tratament clar și transparent.
Programează-te online aici sau sună la cabinetul din orașul tău: Iași, Bacău, Suceava sau Neamț.
Redescoperă bucuria de a zâmbi cu încredere alături de implanturi Straumann puse de un specialist dedicat.
Dr. Marius Mahalianu – Implantologie premium cu implanturi Straumann în Iași, Bacău, Suceava și Neamț.